Kỹ thuật soi lam chẩn đoán bệnh lây truyền qua đường tình dục
1. Kỹ thuật soi tươi
Soi tươi bệnh phẩm dịch âm đạo, niệu đạo có thể phát hiện nấm men, trùng roi Trichomonas vaginalis, Gradnerella vaginallis và nhận định mật độ tế bào âm đạo và bạch cầu.
1.1. Lấy bệnh phẩm và làm tiêu bản
- Đặt mỏ vịt, dùng que tăm bông hoặc khuyên cấy lấy dịch âm đạo ở thành âm đạo, cùng đồ âm đạo. Ở nam giới dùng que tăm bông lấy dịch niệu đạo.
- Làm tiêu bản: Nhỏ một giọt nước muối sinh lý NaCl 0.9 % vô trùng lên lam, nhúng tăm bông hoặc khuyên cấy đã có bệnh phẩm vào giọt nước nước muối, đậy lamen lên giọt bệnh phẩm.
1.2. Nhận định kết quả bằng quan sát trực tiếp
Khảo sát dưới kính hiển vi vật kính x10, x40.
- Nấm men: Dưới kính hiển vi có thể thấy dạng tế bào nấm men, hình bầu dục có nảy búp, có hoặc không có sợi tơ nấm giả. Nếu nhuộm Gram tế bào nấm men bắt màu Gram dương.
- Trùng roi âm đạo Trichomonas vaginalis: Đây là loại KST đơn bào, di chuyển nhờ chiên mao, sống trong âm đạo. Trùng roi rất di động, hình ảnh di động rất đặc biệt. Hình dạng giống hình quả lê hoặc hạt đậu, có trục ty. Tế bào chất có nhiều không bào. Có một sinh mao thể, sinh mao thể có 3-5 chiên mao hướng về phía dưới, nhân to nằm gần đầu.
- Gradnerella vaginallis: Nhỏ một giọt KOH 10% vào dịch âm đạo, niệu đạo thì sẽ có mùi cá ươn điển hình và chỉ tồn tại vài giây.

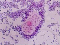
Soi tươi bệnh phẩm dịch âm đạo
nhận định nấm và Trichomonas vaginalis
Bạch cầu hay tế bào mủ: Khảo sát bằng vật kính X10
• < 25 tế bào/VT (+):Bình thường
• 25 - 100 tế bào/VT (++): Theo dõi và nhận định kèm các tác nhân khác
• >100 tế bào/VT (+++): Bất thường
2. Kỹ thuật soi lam nhuộm Gram
Khảo sát tiêu bản nhuộm Gram cho phép nhận định hình dang, cách sắp xếp và tính chất bắt màu gram âm, gram dương của vi khuẩn… để định hướng chẩn đoán các tác nhân gây bệnh như: lậu cầu khuẩn, nấm men, Gradnerella vaginallis và nhận định tình trạng viêm âm đạo do vi khuẩn …
2.1. Kỹ thuật lấy bệnh phẩm làm phiến phết nhuộm Gram
- Dụng cụ: Tăm bông vô trùng, khuyên cấy, mỏ vịt, lam kính…
- Đối với phụ nữ: làm ướt mỏ vịt bằng nước ấm, đặt mỏ vịt lấy bệnh phẩm bằng que cấy ở lỗ niệu đạo, lỗ các tuyến Bartholine, Skènes, ống cổ tử cung, dịch cùng đồ, rìa hậu môn là nơi để lấy bệnh phẩm.
- Đối với nam giới: nắn dọc niệu đạo để dịch tiết chảy ra, dùng khuyên cấy vô trùng lấy sâu vào niệu đạo khoảng 2cm. Cần làm nhẹ nhàng để tránh làm đau bệnh nhân.
- Đối với trẻ em viêm kết mạc mắt do lậu, lấy bệnh phẩm ở mắt bằng que tăm bông.
- Một số trường hợp bệnh phẩm được lấy ở họng.
- Phết bệnh phẩm lên lam kính từ khuyên cấy hoặc que tăm bông, để khô tự nhiên, cố định bằng hơi nóng khô qua đèn cồn.
- Nhuộm Gram:
• Phủ phiến phết bằng dung dịch Crystal Violet, 1 phút
• Rửa nước, Phủ dung dịch Glugol, 1 phút
• Tẩy màu bằng cồn acetol cho tới khi giọt cồn không còn màu
• Phủ phiến phết bằng dung dịch Safranine, 30 giây
• Rửa nước, để khô tự nhiên.
2.2. Nhận định kết qua dưới kính hiển vi vật kính X100
Chẩn đoán Lậu cầu khuẩn (Neisseria gonorrhoeae): Vi khuẩn hình hạt cà phê, đứng thành đôi, gram âm, nằm trong tế bào bạch cầu, đôi lúc nằm ngoài bạch cầu. Khi nhìn thấy những tính chất trên của vi khuẩn chỉ ghi nhận: “Tìm thấy song cầu khuẩn Gram âm, hình hạt cà phê nằm trong tế bào (hay ngoài tế bào) dạng gonocoque” đồng thời ghi nhận thêm sự hiện diện của tế bào mủ và các vi khuẩn khác.

Gonocoque
Gradnerella vaginallis:
Tế bào biểu mô
Trichomonas vaginalis
KTV. Phạm Thị Thu Giang
Lễ kỷ niệm 40 năm thành lập Viện Sốt rét – KST – CT TP. HCM (18/01/1977 – 18/01/2017) & Đón nhận Huân chương Lao động hạng I
13/01/2017Lớp tập huấn đánh giá kết quả phòng chống sốt rét giai đoạn 2011 - 2015
26/10/2015Thông báo tuyển sinh khóa 45 năm 2015
23/10/2015Công đoàn Viện Sốt rét - KST - CT TP. HCM tổ chức tham quan du lịch
19/10/2015