Ký sinh trùng lây qua nguồn nước
01:43 CH @ 29/03/2016Nước là một thành phần quan trọng trong thiên nhiên và rất cần thiết cho sự sống, nước đóng một vai trò quan trọng trong các lĩnh vựcNhau thai nhiễm Schistosoma haematobium (Báo cáo ca bệnh)
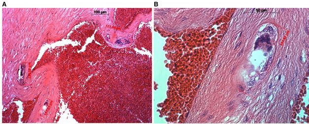
01:51 CH @ 26/10/2015Schistosomiasis là loài sán lây nhiễm phổ biến và đôi khi du khách có thể bị phơi nhiễm khi đến khu vực có loài này lưu hành. Báo cáoBệnh giun chỉ Onchocerca hay bệnh mù lòa đường sông
11:26 SA @ 26/10/2015Onchocerciasis là một bệnh nhiệt đới bị lãng quên, gây ra bởi giun xoắn Onchocerca. Quá trình bệnh xảy ra khi một loại côn trùng truyềnCác ký sinh trùng thường gây hại cho mắt
11:22 SA @ 26/10/2015Đôi mắt là cửa sổ tâm hồn, tuy nhiên mắt cũng tiềm ẩn những căn bệnh nguy hiểm do những ký sinh trùng đáng sợ gây nên. Những sinh vậtĐiều trị các triệu chứng lâm sàng ở mắt do nhiễm Demodex folliculorum bằng ivermectin
09:46 SA @ 21/08/2015Demodex (từ Hy lạp: demo sáp hoặc chất béo; dex côn trùng) là một loại ký sinh trùng rất nhỏBình luận về hoạt động phòng chống giun truyền qua đất trên thế giới từ khi bắt đầu tới nay
03:06 CH @ 07/08/2015Trên Tạp chí The Lancet Infectious Diseases [1], tác giả Simon Brooker và đồng nghiệp qua tổng hợp về tình hình bệnh và việc phòngChẩn đoán bệnh do ký sinh trùng: Phương pháp tiếp cận sinh học phân tử
03:16 CH @ 08/07/2015Các xét nghiệm dựa vào kính hiển vi và huyết thanh có nhiều giới hạn làm các nhà ký sinh trùng học hướng đến phương pháp khuếch
Tin nổi bật
Lễ kỷ niệm 40 năm thành lập Viện Sốt rét – KST – CT TP. HCM (18/01/1977 – 18/01/2017) & Đón nhận Huân chương Lao động hạng I
13/01/2017Lớp tập huấn đánh giá kết quả phòng chống sốt rét giai đoạn 2011 - 2015
26/10/2015Thông báo tuyển sinh khóa 45 năm 2015
23/10/2015Công đoàn Viện Sốt rét - KST - CT TP. HCM tổ chức tham quan du lịch
19/10/2015






