Nhau thai nhiễm Schistosoma haematobium (Báo cáo ca bệnh)
Tóm tắt:
Schistosomiasis là loài sán lây nhiễm phổ biến và đôi khi du khách có thể bị phơi nhiễm khi đến khu vực có loài này lưu hành. Báo cáo ca bệnh một trường hợp sán máng niệu sinh dục và nhau thai ở một phụ nữ 28 tuổi người Đức, đã phơi nhiễm với bệnh sán máng ở hồ Malawi. Bệnh nhân thấy đau ở tuần thứ 21 của thai kỳ. Soi bàng quang cho thấy tổn thương điển hình của bệnh sán máng niệu sinh dục. Xét nghiệm mô bệnh học khẳng định có trứng của Schistosoma (S.) haematobium.
Bệnh nhân được điều trị bằng Praziquantel 40 mg/kg/trọng lượng cơ thể/ngày trong 3 ngày. Sau 285 ngày của thai kỳ và 18 tuần sau khi điều trị, bệnh nhân sinh một bé gái khỏe mạnh. Mô bệnh học của nhau thai xuất hiện trứng của S. haematobium trong chất đệm nhau thai. Bé gái ở 15 tháng tuổi cho kết quả âm tính với kháng thể kháng Schistosoma spp.. Đây là báo cáo đầu tiên về bệnh sán máng nhau thai từ năm 1980 và là trường hợp đầu tiên xảy ra đối với một khách du lịch...
Báo cáo ca bệnh:
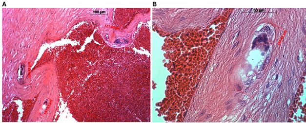
Một ca sán máng niệu sinh dục và nhau thai ở một phụ nữ 28 tuổi người Đức, người đã phơi nhiễm với bệnh sán máng ở hồ Malawi một năm trước đó (2012). Bệnh nhân đã được điều trị dự phòng sốt rét với doxycycline 100 mg QD, 2 tháng trong và sau chuyến đi. Báo cáo sau chuyến đi không có các triệu chứng như sốt, khó chịu hoặc đau đầu. Bệnh nhân đái ra máu nhưng không đau ở tuần thứ 21 của thai kỳ. Khám phụ khoa, không có bệnh lý âm đạo. Soi bàng quang biểu hiện tổn thương (''đốm cát'') điển hình của bệnh sán máng niệu sinh dục. Mô bệnh học xác nhận trứng của Schistosoma (S.) haematobium, thông số viêm CRP và bạch cầu cho thấy không có kết quả cụ thể (CRP 11,6 mg/l (ref < 7.5), bạch cầu 10 GPT/l (ref. 4,4-11,3);hồng cầu 3,9 TPT/l (ref 4,1-5,1.);thrombocytes 222 GPT/l (ref. 150-360). Sau khi cân, xem xét kỹ lưỡng các tác hại của bệnh sán máng trên người mẹ và thai nhi so với các tác dụng phụ có hại của praziquantel, praziquantel 40 mg/kg/trọng lượng cơ thể/ngày, điều trị trong 3 ngày. Sau 285 ngày của thai kỳ và 18 tuần sau khi điều trị, bệnh nhân sinh một bé gái khỏe mạnh (trọng lượng:4240 g, chiều dài:52 cm). Khám nghiệm mô bệnh học nhau thai tìm thấy trứng của S. haematobium trong chất đệm nhau thai mà không có viêm mô dính (Hình. 1).
Theo dõi bệnh nhân một năm sau khi sinh cho thấy không có bằng chứng có trứng sán máng trong phân cũng như trong nước tiểu, và việc xác định bạch cầu hạt ái toan và IgE cho thấy không có kết quả cụ thể [IgE 17,8 kU/l (ref\120.); bạch cầu hạt ái toan 0,34 GPT/l 4%]. Bệnh nhân được báo cáo là không có thêm các triệu chứng lâm sàng. Chẩn đoán huyết thanh xác nhận giảm hiệu giá kháng thể Schistosoma spp. (IIFT 1:160 tháng 8 năm 2012; IIFT 01:20 Tháng 7 năm 2013). Trẻ sơ sinh tăng trưởng và phát triển bình thường. Kiểm tra kháng thể Schistosoma spp. của bé gái 15 tháng tuổi, cho kết quả âm tính.
Hình 1. A. Tổng quan (1:200) haematoxylin-nhuộm eosin: trứng Schistosoma haematobium trong lông nhung màng đệm của nhau thai người mẹ.
B. chi tiết (1:1000) haematoxylin-nhuộm eosin: trứng Schistosoma haematobium trong mô nhau thai.
Thảo luận ca bệnh
Trong năm 2012, Tổ chức Y tế Thế giới (WHO) ước tính có khoảng 249 triệu người tại 78 quốc gia yêu cầu được điều trị dự phòng bệnh sán máng, đại đa số người dân bị ảnh hưởng sống trong vùng lưu hành bệnh. Sự kiện du khách nhiễm bệnh sán máng khi đến các khu vực có sự hiện diện của loài này là tương đối hiếm mặc dù một tiếp xúc duy nhất đủ để phát triển bệnh sán máng lâm sàng. Trong những năm 1999-2001, 412 trường hợp mang sán máng vào châu Âu từ những nước có bệnh, thường xảy ra ở những người nhập cư. Chỉ thời gian gần đây, trường hợp duy nhất người nhiễm sán máng niệu sinh dục ở Nam Âu được báo cáo. Thường xuyên nhất, du khách và khách du lịch bị bệnh sán máng dạng cấp với các triệu chứng bạch cầu ưa eosin, sốt và gan lách to, nhưng những trường hợp mãn tính chẳng hạn như sán máng đường tiết niệu và đường sinh dục nữ cũng được báo cáo.
Sán máng đường tiết niệu ở các trường hợp sớm thường có biểu hiện đái ra máu do loét niêm mạc bàng quang. Thành bàng quang có thể có các điểm dày lên với u nhú của polyp. Sán máng niệu sinh dục kéo dài liên quan đến tái phơi nhiễm xảy ra liên tục trong vùng dịch tễ, hầu hết các trường hợp có các biểu hiện với vùng đốm cát ở bàng quang, u hạt, loét, polyp và dày lên của toàn bộ đường tiết liệu và thành bàng quang và tạo thành một yếu tố nguy cơ ung thư bàng quang dạng vảy. Khi xơ hóa bàng quang xảy ra có thể phát triển làm tắc nghẽn đường tiết niệu trên và ứ nước. Liên quan đến đường sinh dục trên có thể tạo ra các khối u ở vùng khung chậu và các khối u giả. Cuối cùng sán máng gây viêm vòi trứng có thể dẫn đến vô sinh và vỡ thai ngoài tử cung. Một điều chưa rõ ràng là bệnh sán máng có thể tạo ra yếu tố nguy cơ ung thư tử cung hay không.
Trong một nghiên cứu thực hiện tại Malawi, hơn 60% phụ nữ bị ảnh hưởng đường sinh dục, bài tiết trứng S. haematobium trong nước tiểu. Ngược lại, trong một nghiên cứu thực hiện ở Tanzania, 20% phụ nữ có tổn thương ở bộ phận sinh dục do S. hamatobium, không bài tiết trứng trong nước tiểu. Tùy thuộc vào từng địa phương, biểu hiện của sán máng ở đường sinh sản thấp hơn bao gồm loét và u nhú ở âm hộ, niêm mạc âm đạo và cổ tử cung, cũng như đốm cát và rò bàng quang-âm đạo. Loét mãn tính của niêm mạc sinh dục có thể tạo thuận lợi cho các bệnh lây truyền qua đường tình dục (STD) như HIV, HSV, HBV và những bệnh khác. Các hiệp hội chung về sán máng niệu sinh dục và STD cảnh báo bệnh sán máng có thể gây ra sự kỳ thị vì hiểu lầm như là một STD.
Ở phụ nữ mang thai, những người không sống trong vùng dịch tễ lưu hành bệnh sán máng, nguyên nhân thường gặp ở hầu hết các ca nhiễm sán máng bao gồm viêm bàng quang, viêm bể thận và sỏi niệu. Trong người nhập cư từ các nước nghèo, lao niệu sinh dục cũng cần được xem xét. Ảnh hưởng của bệnh sán máng trong thai kỳ có thể phụ thuộc vào Schistosoma spp. Liên quan đến công việc và về tình trạng dinh dưỡng của người phụ nữ mang thai. Lây nhiễm sán máng qua nhau thai ở người chưa được tuân thủ, nhưng bệnh sán máng ở tử cung của người mang thai đã được báo cáo và sán máng nhau thai có liên quan tới thai chết lưu. Nhiều khả năng sán máng ảnh hưởng gián tiếp đến thai nhi bằng các yếu tố như thiếu hụt sắt, các vitamin và dinh dưỡng, trong khi hiệu ứng miễn dịch hoặc nội tiết của bệnh sán máng lên thai nhi vẫn chưa được khám phá. Tiền sản giật và thai chết lưu có thể liên quan đến bệnh sán máng đã được báo cáo. Bệnh sán máng liên quan đến sinh non và trọng lượng thai nhi sinh ra thấp. Sán máng nhau thai ít khi được báo cáo, có lẽ ở các nước nghèo chẩn đoán về bệnh lý hiếm khi được quan tâm. Đây là báo cáo đầu tiên về sán máng nhau thai kể từ năm 1980 và là trường hợp đầu tiên về sán máng nhau thai ở một khách du lịch.
TS. Phùng Đức Truyền
(Dịch từ Infection (2014) 42, pp.1061–1064. Publish by Springer-Verlag Berlin Heidelberg)
Lễ kỷ niệm 40 năm thành lập Viện Sốt rét – KST – CT TP. HCM (18/01/1977 – 18/01/2017) & Đón nhận Huân chương Lao động hạng I
13/01/2017Lớp tập huấn đánh giá kết quả phòng chống sốt rét giai đoạn 2011 - 2015
26/10/2015Thông báo tuyển sinh khóa 45 năm 2015
23/10/2015Công đoàn Viện Sốt rét - KST - CT TP. HCM tổ chức tham quan du lịch
19/10/2015