Phát hiện thuốc mới điều trị ký sinh trùng sốt rét “thể ngủ”
Một loại thuốc mới thuộc thế hệ thứ nhất nhằm tiêu diệt ký sinh trùng sốt rét khi chúng ẩn náu trong cơ thể người, đây là một kết quả đáng mừng trong nửa thế kỷ qua. Các nhà nghiên cứu đã tìm ra thuốc Tafenoquine, đã hoàn thành thử nghiệm giai đoạn II và sẽ sớm bắt đầu thử nghiệm giai đoạn III - bước cuối cùng trước khi yêu cầu cơ quan quản lý thuốc phê duyệt.

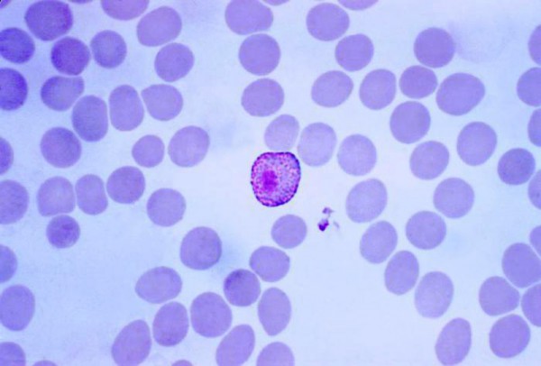
Kẻ thù tàng hình: Plasmodium vivax ở dạng thể ngủ trong tế bào gan
Tafenoquine tiêu diệt ký sinh trùng sốt rét khi nó ẩn trong các tế bào gan, còn được gọi là hypnozoite, hoặc “thể ngủ”. Hypnozoites không gây ra bất kỳ triệu chứng nào và cũng không thể phát hiện với các xét nghiệm máu. Nhưng khi được kích hoạt bởi những tín hiệu (cơ chế này chưa được hiểu đầy đủ), chúng sẽ hoạt động lại để gây ra cơn sốt rét, sau đó có thể được muỗi chích và truyền qua các nạn nhân mới. Trong 5 loài Plasmodium có thể gây ra bệnh sốt rét ở người, có 2 loài (P.vivax, phổ biến rộng rãi và ít gặp hơn là P.ovale) có thể hình thành hypnozoites. Khả năng ẩn náu này là một trong những điều rất khó khăn để loại trừ P.vivax trong khu vực.
Ngày nay, điều trị tiệt căn thể ngủ do P.vivax chỉ có thể dùng primaquine phác đồ 14 ngày (1940). Nó có hiệu quả khá tốt, nhưng rất khó để thực hiện bởi thời gian quá dài, người bệnh khó thực hiện đầy đủ phác đồ kéo dài 2 tuần. Theo JP Kleim, giám đốc phát triển lâm sàng cho các công ty dược phẩm GlaxoSmithKline (GSK) thì việc tuân thủ phác đồ hiện tại thực sự là một vấn đề khó khăn. “Các triệu chứng sốt rét cấp tính đã biến mất sau một vài ngày điều trị”, vì vậy động lực để bệnh nhân tiếp tục uống thuốc là rất thấp. Đó là lý do tại sao GSK liên doanh với công ty sản xuất thuốc điều trị Sốt rét, một công ty phi lợi nhuận tại Geneva, nghiên cứu tafenoquine. Họ đã tiến hành thử nghiệm trong năm 2011 để xem một liều duy nhất tafenoquine có hiệu quả tốt như tác dụng trong 2 tuần của primaquine.
Theo những số liệu được trình bày tại Hội nghị thường niên Vệ sinh và Y tế nhiệt đới của Mỹ ở Washington, D.C., một liều duy nhất tafenoquine hoạt động rất tốt. Thử nghiệm này được thực hiện trên 329 bệnh nhân ở Brazil, Ấn Độ, Thái Lan, và Peru. Những bệnh nhân được điều trị ở liều 300 mg hoặc 600 mg, 90% không tái phát sau 4 tháng. Theo Dr. Heitor Vieira Dourado (ở Manaus, Brazil), người cùng phối hợp nghiên cứu và trình bày kết quả tại cuộc họp, sẽ hướng đến thử nghiệm giai đoạn III, kiểm tra độ an toàn và hiệu quả của liều 300 mg ở 600 bệnh nhân.
Một loại thuốc đơn liều sẽ là một lợi thế rất lớn để điều trị P.vivax trong cuộc chiến chống sốt rét, theo Ric Price, người làm việc tại trường nghiên cứu y tế Menzies ở Darwin, Australia, và Đại học Oxford ở Anh, “Một trong những thách thức lớn nhất chúng ta phải đối mặt là làm thế nào chúng ta có thể điều trị một cách chắc chắn và hoàn toàn giai đoạn hypnozoite”.
ThS. Phạm Nguyễn Thúy Vy
Lược dịch theo http://news.sciencemag.org (14/11/2013)
TIN KHÁC
Hoạt động điều tra chủ động ký sinh trùng sốt rét tại xã Phú Giáo và Phước Hòa, TP. Hồ Chí Minh
Đặc điểm dịch tễ học sốt rét khu vực Nam Bộ - Lâm Đồng giai đoạn năm 2020 - 2024
KÝ SINH TRÙNG SỐT RÉT Plasmodium knowlesi
NGUY CƠ TỬ VONG TỪ SỐT RÉT NGOẠI LAI
Hoạt động giám sát muỗi truyền bệnh sốt rét tại huyện Cần Giờ, thành phố Hồ Chí Minh
Lễ kỷ niệm 40 năm thành lập Viện Sốt rét – KST – CT TP. HCM (18/01/1977 – 18/01/2017) & Đón nhận Huân chương Lao động hạng I
13/01/2017Lớp tập huấn đánh giá kết quả phòng chống sốt rét giai đoạn 2011 - 2015
26/10/2015Thông báo tuyển sinh khóa 45 năm 2015
23/10/2015Công đoàn Viện Sốt rét - KST - CT TP. HCM tổ chức tham quan du lịch
19/10/2015