Một số bệnh ký sinh trùng do côn trùng hai cánh chích, đốt gây ra
Côn trùng hai cánh chích, đốt là loại côn trùng có hai cánh, biết bay, hút máu người, máu gia súc. Ở nhiều nơi trên thế giới sự chích và đốt này là mối phiền hà đáng kể. Quan trọng hơn chúng là véc tơ truyền một số bệnh ký sinh trùng nguy hiểm như: Sốt rét, giun chỉ bạch huyết, bệnh ngủ châu Phi (Trypanosoma), Leishmaniasis, Thelazia (giun tròn), bệnh giun chỉ (Onchocerca) …. Bệnh hay gặp chủ yếu ở các nước nhiệt đới và cận nhiệt đới .
- Ký sinh trùng sốt rét
Sốt rét là một bệnh thường gặp ở những vùng nhiệt đới và cận nhiệt đới.
Bệnh này lây nhiễm từ 300 và 500 triệu người mỗi năm và làm cho khoảng ba triệu trường hợp người chết mỗi năm, chủ yếu ở trẻ em vùng Châu Phi cận Sahara. Sốt rét là một trong những bệnh truyền nhiễm phổ biến nhất và là một vấn đề quan trọng về mặt sức khỏe cộng đồng.
Căn bệnh này gây ra bởi ký sinh trùng dạng protozoan của Plasmodium gây ra. Dạng bệnh sốt rét trầm trọng là do Plasmodium falciparum và Plasmodium vivax, nhưng các loài khác có liên quan là Plasmodium ovale và Plasmodium malariae, Plasmodium knowlesi cũng có thể gây bệnh cho người.
Loài Plasmodium gây bệnh cho người này thường được gọi là ký sinh trùng sốt rét. Ký sinh trùng sốt rét được truyền sang người bởi muỗi Anopheles cái khi chúng hút máu người bệnh có giao bào các giao bào này sẽ phát triển trong cơ thể muỗi sau một thời gian muỗi mang mầm bệnh đốt người lành, ký sinh trùng theo tuyến nước bọt của muỗi xâm nhập vào cơ thể vật chủ, các ký sinh trùng sẽ phát triển và nhân lên trong hồng cầu người bệnh, gây ra các triệu chứng như sốt, lạnh, vả mồ hôi, thiếu máu, trong trường hợp nặng có thể gây hôn mê và tử vong.


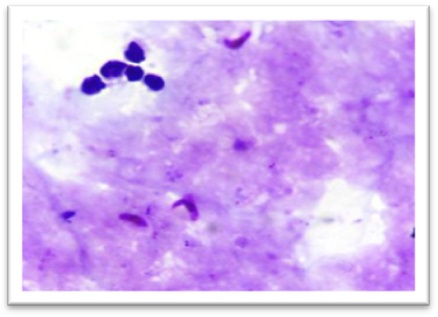
Hình 1: MuỗiAnopheles dirus[1] vàKý sinh trùng Sốt rét trên tiêu bản nhuộm giêm sa (Viện sốt rét - Ký sinh trùng - Côn trùng Tp. HCM)
- Giun chỉ bạch huyết
Hơn 120 triệu người mắc bệnh giun chỉ bạch huyết. Khoảng 1,4 tỉ người có nguy cơ mắc bệnh tại 73 nước. Những vùng có bệnh nhiều nhất là Châu Phi và Châu Á. Giun chỉ ở người được chia làm 2 nhóm: Nhóm giun chỉ ký sinh dưới da và tổ chức. Nhóm giun chỉ ký sinh ở bạch huyết có các giống Wuchereria và Brugia. ở Việt Nam chỉ gặp giun chỉ bạch huyết là Wuchereria bancroftivà Brugia malayi. Giun chỉ có chu kỳ phát triển qua 2 vật chủ là người và muỗi. Các loài muỗi sau đây là vectơ truyền bệnh giun chỉ: Culex, Anopheles, Ades,Mansonia.
Giun chỉ sinh sản hữu tính, giun cái đẻ ra ấu trùng, ấu trùng từ hệ tuần hoàn bạch huyết sang hệ tuần hoàn máu và thường xuất hiện ở máu ngoại vi về ban đêm (từ 21 giờ đêm đến 2 giờ sáng). Sau khi muỗi hút máu người truyền ấu trùng giun chỉ vào máu ngoại vi, từ đó ấu trùng theo máu ký sinh ở hệ bạch huyết để phát triển thành giun trưởng thành. Thời gian từ khi nhiễm đến khi xuất hiện ấu trùng trong máu khoảng 3 - 7 tháng. Đối với Wuchereria bancrofti thường ký sinh ở hạch vùng sinh dục và hạch vùng thận. Còn Brugia malayi thường ký sinh ở hạch vùng bẹn hoặc nách. Giun trưởng thành có tuổi thọ khoảng 10 năm. Ấu trùng có thể tồn tại ở hệ tuần hoàn máu tới 10 tuần rồi sẽ chết nếu không được muỗi hút[2][3][8].

Hình 2: Ấu trùng giun chỉ bạch huyết( Viện Sốt rét - ký sinh trùng - Côn trùng Tp. HCM)
- Ký sinh trùng Trypanosoma
Trypanosomiasis ở người Châu Phi, còn được gọi là bệnh ngủ, là một bệnh ký sinh trùng do vector gây ra. Do nhiễm trùng ký sinh trùng đơn bào thuộc chi Trypanosoma. Bệnh buồn ngủ xảy ra ở 36 quốc gia vùng hạ Sahara ở Châu Phi nơi có những con ruồi tsetse truyền bệnh. Trypanosomiasis ở Châu Phi có 2 dạng, tùy thuộc vào ký sinh trùng:
Trypanosoma brucei gambiense được tìm thấy ở 24 quốc gia ở phía tây và trung tâm Châu Phi, chiếm tới 97% số trường hợp mắc bệnh. Trypanosoma brucei rhodesiense được tìm thấy ở 13 quốc gia ở phía đông và Nam Phi, chiếm 3% các trường hợp được báo cáo.
Bệnh lây lan chủ yếu qua vết cắn của ruồi tsetse loài (Glossina) bị nhiễm bệnh. Trypanosomasinh sản tại vết cắn rồi từ đó phát tán theo đường máu, sau cùng theo hệ tuần hoàn xâm nhập vào hệ thần kinh trung ương và dịch não tủy. Khi bệnh tiến triển đến giai đoạn thần kinh thì người bệnh bị rối loạn giấc ngủ sau đó ngủ mê man. Nếu không được điều trị thì người bệnh sẽ bị suy nhược dần cho đến chết[4][8].

Hình 3:Ruồi tsetse vàTrypanosomassp trong phết mỏng nhuộm giêm sa.(https://www.cdc.gov/parasites/sleepingsickness/)
- Ký sinh trùng Thelazia
Thelazialà một loài giun tròn có thể ký sinh trong mắt và các mô của loài chim và động vật có vú gồm cả con người. Các ấu trùng giai đoạn đầu tiên được đưa vào ruột của vật chủ trung gian như ruồi Drosophilid trong chi Amioto, và ruồi Muscid trong các chi Musca và Fannia,khi chúng ăn những nước mắt và tiết lệ đạo khác. Ở trong đường tiêu hóa của vật chủ trung gian (ruồi) sẽ phát triển qua các giai đoạn khác nhau, đến giai đoạn 3 thoát ra khỏi nang và di chuyển đến phần miệng của ruồi, khi ruồi ăn những giọt nước mắt của các vật chủ. Ấu trùng xâm nhập vào túi kết mạc của vật chủ và trở thành giun trưởng thành sau khoảng 1 tháng, giun ở trong mắt gây viêm và chảy nước mắt. Trường hợp nhiễm khuẩn nặng, sợ ánh sáng, phù, viêm kết mạc và mù lòa có thể xảy ra[5][8].


Hình 4: RuồiMusca autumnalis và giun tròn Thelazia (http://www.vetbook.org/wiki/horse/index.php?title=Thelazia_lacrymalis)
- Bệnh Leishmaniasis
Leishmaniasis là một bệnh ký sinh trùng được tìm thấy ở các vùng nhiệt đới, cận nhiệt đới và miền nam Châu Âu. Nó được phân loại là một bệnh nhiệt đới bị bỏ quên (NTD). Leishmaniasis là do nhiễm trùng ký sinh trùngLeishmania, lây lan bởi vết cắn muỗi cát (phlebotomus). Khi muỗi cát hút máu người bị nhiễm Leishmaniasis trong ruột muỗi cát ký sinh trùng chuyển từ dạng không roi sang dạng có roi và phát triển tăng sinh sau đó di chuyển lên tuyến nước bọt của muỗi, khi muỗi hút máu người ký sinh trùng sẽ di chuyển sang cơ thể vật chủ và gây bệnh. Có nhiều dạng bệnh Leishmaniasis khác nhau ở người, các dạng phổ biến nhất là Leishmaniasis da, gây ra các vết loét ở da, Leishmaniasis da và niêm mạc, Leishmaniasis nội tạng , có ảnh hưởng đến một số cơ quan nội tạng (thường là lá lách, gan và tủy xương)[6][8].

Hình 5: Muỗi cát và Leishmaniasis trên phết máu (https://www.cdc.gov/parasites/leishmaniasis/)
- Bệnh giun chỉ Onchocerca
Onchocerciasislà một bệnh nhiệt đới bị lãng quên, quá trình bệnh xảy ra khi loài ruồi đen (Simulium damnosum) chích vào da người để hút máu và truyền những ấu trùng giun chưa trưởng thành từ người bệnh sang những người lành. Ở người khi bị nhiễm Onchocerciasis gây suy giảm thị lực hoặc mù, Onchocerciasis còn gây bệnh ngoài da, trong đó có các nốt sần dưới da và ngứa. Các biểu hiện nghiêm trọng nhất bao gồm các tổn thương cấu trúc quan trọng và thường gây mù vĩnh viễn. Đây là căn bệnh đáng để được quan tâm với mức gây mù lòa cao và xảy ra ở những cộng đồng có dịch bệnh này lan tràn. Bệnh này thường gây khủng hoảng trong cộng đồng do những hậu quả nặng nề về kinh tế và xã hội mà nó gây ra. Theo Tổ chức Y tế Thế giới (WHO), Onchocerciasis trên toàn thế giới chỉ đứng sau bệnh đau mắt hột là một nguyên nhân gây lây nhiễm của bệnh mù[7][8].

Hình 6: Ruồi đenSimulium damnosumvà O.volvulustừ một khối u da của một bệnh nhân từ Zambia, nhuộm màu với H & E[7]
- Phòng tránh bệnh ký sinh trùng do côn trùng hai cánh chích, đốt gây ra gây ra:
Mỗi bệnh do một loại côn trùng truyền khác nhau, nhưng đều giống nhau là chúng hút máu người nhiễm bệnh mang theo mầm bệnh, sau đó chúng đốt người lành và truyền mầm bệnh.
Biện pháp phòng chống tốt nhất là: Diệt muỗi, diệt ruồi, diệt bọ gậy, chống muỗi, chống ruồi và bảo vệ người lành.
Có thể diệt ruồi, muỗi bằng nhiều cách: Hun khói, quạt gió, bẫy đèn, vợt muỗi, hương muỗi, phun hóa chất, phát quang bụi cây gần nhà, khơi thông cống rãnh, không để nước đọng quanh nhà. Thả cá trong các chum, vại, bể đựng nước, bể cảnh… để diệt bọ gậy. Đổ hết nước đọng trong các dụng cụ để loại bỏ nơi muỗi đẻ, không có chỗ cho bọ gậy phát triển.
Chống ruồi, muỗi đốt bằng cách tẩm màn bằng hóa chất, thường xuyên ngủ màn, ngủ màn cả khi ngủ ban ngày và ngủ màn khi đi nương rẫy. Mặc quần áo dài khi lao động.
Xây dựng nếp sống vệ sinh, giữ cho nhà ở thoáng mát, sắp xếp đồ dùng trong nhà ngăn nắp.
Xây chuồng gia súc xa nhà ở, thường xuyên vệ sinh, tẩy uế chuồng trại chăn nuôi.
Truyền thông giáo dục phòng chống bệnh ký sinh trùng do côn trùng chích, đốt.
Chúng ta nên kiểm tra sức khoẻ định kỳ và khi nghi ngờ nhiễm bệnh do ký sinh trùng nên đến các cơ sở khám bệnh chuyên khoa để được tư vấn, khám và điều trị .
Hoàng Anh, Trần Thị Xuyến
Tài liệu tham khảo:
- http://www.scientistsagainstmalaria.net/vector/anopheles-dirus
- https://www.cdc.gov/parasites/lymphaticfilariasis/gen_info/faqs.html
- https://www.cdc.gov/parasites/lymphaticfilariasis/biology_w_bancrofti.html
- http://www.who.int/mediacentre/factsheets/fs259/en/
- https://www.cdc.gov/dpdx/thelaziasis/index.html
- https://www.cdc.gov/parasites/leishmaniasis/
- http://www.who.int/mediacentre/factsheets/fs375/en/
- Trần Xuân Mai và cộng sự (2015).Ký sinh trùng y học. Nhà xuất bản y học,trang 348 - 371.
Lễ kỷ niệm 40 năm thành lập Viện Sốt rét – KST – CT TP. HCM (18/01/1977 – 18/01/2017) & Đón nhận Huân chương Lao động hạng I
13/01/2017Lớp tập huấn đánh giá kết quả phòng chống sốt rét giai đoạn 2011 - 2015
26/10/2015Thông báo tuyển sinh khóa 45 năm 2015
23/10/2015Công đoàn Viện Sốt rét - KST - CT TP. HCM tổ chức tham quan du lịch
19/10/2015