Ký sinh trùng lây truyền qua thực phẩm
Bệnh do ký sinh trùng ảnh hưởng đến sức khỏe của hàng triệu người mỗi năm, gây tổn hại các mô, cơ và các cơ quan trong cơ thể, gây suy nhược, nhiễm trùng đường ruột, thậm chí gây tử vong. Ký sinh trùng có thể lây truyền qua các con đường khác nhau như: Đất, nước, máu, động vật, côn trùng và có thể truyền qua thực phẩm trong đó có nhiều sinh vật là đơn bào, giun sán.
Các ký sinh trùng lây truyền qua thực phẩm và đường ăn uống phổ biến như: Anisakisasis spp, Taenia solium, Diphyllobothriumlatum, Echinococcus spp, Toxoplasma gondii,Cryptosporidium spp, Entamoeba histolytica, Trichinella spiralis,Giardia spp,Opisthorchiidae, Ascarisspp.
Anisakiasis là một bệnh ký sinh trùng gây ra bởi giun tròn. Một số loài động vật có vú dưới biển (cá voi, sư tử biển) bị nhiễm bệnh thải phân xuống biển, trứng có trong phân được giải phóng và nở thành ấu trùng, những ấu trùng này được động vật giáp xác ăn phải, sau đó các loài cá nhỏ (cá hồi, cá trích) hoặc mực ăn động vật giáp xác, ấu trùng di chuyển vào dạ dày cá, mực. Khi con người ăn cá, mực sống hoặc nấu chưa chín có chứa ấu trùng Anisakiasis, ấu trùng vào bên trong cơ thể con người, ấu trùng có thể xâm nhập qua đường tiêu hóa gây viêm thực quản, dạ dày, ruột. Sau vài tuần ấu trùng sẽ chết trước khi phát triển thành giun trưởng thành [1].

Hình 1: Giun trưởng thành và ấu trùngAnisakiasis
(Nguồn:http://www.cdc.gov/parasites/anisakiasis/)
Taenia solium(sán dải heo) người nhiễm bệnh bài xuất phân ra ngoài môi trường, trứng phát tán trên cỏ, đất và ký chủ trung gian là heo nuốt phải trứng hoặc đốt sán, trứng di chuyển đến ruột của heo, phôi được phóng thích xuyên qua thành ruột vào máu thông qua hệ thống tuần hoàn phát tán khắp cơ thể đặc biệt là các cơ, mô dưới da, lưỡi và phát triển thành nang ấu trùng (cysticercus). Con người ăn thịt heo chưa được nấu chín có chứa nang ấu trùng sẽ theo đường tiêu hóa xuống ruột, dưới tác dụng của men tiêu hóa, đầu sán được giải phóng ra ngoài và phát triển thành giun trưởng thành, sống ký sinh và gây bệnh cho con người [2].

Hình 2: Đầu sán dãi heo trưởng thành.
(Nguồn: http://www.cdc.gov/parasites/taeniasis/)
Diphyllobothriumlatum (sán dây cá) là loài sán dây lớn nhất ký sinh ở con người, trong lòng ruột chúng đẻ trứng, trứng theo phân ra ngoài. Nếu gặp điều kiện thuận lợi trứng nở thành ấu trùng, ấu trùng bơi chu du trong nước bị động vật giáp xác (chân chèo) ăn phải, ấu trùng vào trong ruột, sau đó chui qua thành ruột, khoảng 18-20 ngày sau phát triển thành ấu trùng procercoid (hình túi, đuôi tròn chứa 6 móc). Sau đó một số loài cá nước ngọt nhỏ ăn các động vật giáp xác có chứa ấu trùng, ấu trùng di chuyển vào thịt cá và phát triển thành ấu trùng plerocercoid (sparganum),ấu trùng plerocercoid là giai đoạn lây nhiễm cho con người. Nếu con người ăn cá sống hoặc chưa được nấu chín có chứa ấu trùng, ấu trùng sẽ được nuốt vào bụng và phát triển thành sán dây trưởng thành cư trú và gây bệnh trong ruột non [3].

Hình 3: Đầu và đốt sán Diphyllobothriumlatum
(Nguồn: http://www.examiner.com/slideshow/tapeworms-that-infect-humans)
Echinococcus spp là loài sán dây nhỏ ký sinh trong ruột non của chó, chồn, mèo, thỏ…. Những động vật này phóng thích phân, trứng theo phân ra ngoài phát tán vào môi trường bám vào thực vật, trái cây rừng, hạt của cây rừng. Trong điều kiện tự nhiên con người ăn phải rau, trái cây, hạt cây rừng có chứa trứng, trứng theo đường tiêu hóa xuống dạ dày, ruột, trứng nở trong ruột non, phôi 6 móc được phóng thích chui qua thành ruột và di chuyển thông qua hệ thống tuần hoàn vào các cơ quan khác nhau, đặc biệt là gan, phổi, lách, tụy, tạng, não. Trong các cơ quan phôi phát triển thành một u nang [4].

Hình 4: Echinococcus granulosus, u nang và scolices, 40x
(Nguồn: http://www.animaldisease.org/PIC/PIC/Parasite-Image-Collection/Echinococcus-cestode.html)
Toxoplasma gondii là một ký sinh trùng đơn bào lây nhiễm hầu hết các loài động vật máu nóng kể cả con người.Ở những nơi khác nhau trên thế giới nó đã được chứng minh rằng có đến 95% quần thể dân cư bị nhiễm Toxoplasma. Thường cao nhất là ở các khu vực có điều kiện khí hậu nóng ẩm và độ cao thấp hơn. Toxoplasma gondii có thể lây truyềntrong trường hợp mẹ sang con (bẩm sinh) hoặc truyền máu, ghép tạng, nhưng hay gặp nhất là lây truyền qua thực phẩm như ăn phải thịt lợn, thịt cừu, thịt nai chưa được nấu chín có chứa trứng nang hoặc bào nang. Sau khi con người ăn thức ăn có chứa bào nang vào đến ruột các thoa trùng trong bào nang được phóng thích và di chuyển đến hệ võng mô, cơ, trở thành những thể hoạt động mới tại đây chúng tăng sinh và gây bệnh [5].

Hình5:Toxoplasma gondii.
(Nguồn: http://www.sott.net/article/255059-Toxoplasma-gondii-Study-turns-parasite-invasion-theory-on-its-head)
Cryptosporidium spp là một đơn bào ký sinh trong ruột của nhiều ký chủ khác nhau như động vật gặm nhấm, chim, cá, trâu, dê, heo, cừu, trong đó có con người. Người bị nhiễm là do uống nước, hít phải bào nang Cryptosporidium, ăn thức ăn chưa nấu chín hoặc các loại trái cây và rau quả để ăn sống chưa được rửa sạch có chứa bào nang Cryptosporidium. Sau khi vào ruột chúng gây đau bụng, tiêu chảy, mất nước, buồn nôn, sốt, giảm cân. Đối với những người có hệ miễn dịch suy yếu, các triệu chứng có thể nặng hơn, thậm chí đe dọa tới tính mạng [6].

Hình 6:Cryptosporidium.
(Nguồn: http://fundacionio.org/viajar/enfermedades/cryptosporidiosis.html)
Entamoeba histolyticalà một sinh vật đơn bào cư trú ở con người. Người nhiễm bệnh thải phân ra môi trường bên ngoài, bào nang theo phân ra ngoài gây ô nhiễm nguồn nước, thực phẩm. Người nhiễm bệnh là do ăn phải bào nang có trong thực phẩm như: Các loại rau ăn sống, củ, quả, các bào nang này sẽ theo đường tiêu hóa xuống ruột non sau đó di chuyển đến ruột già và gây bệnh ở ruột như: Lỵ, viêm đại tràng, viêm ruột hoặc thông qua các hệ thống tuần hoàn các bào nang di chuyển đến ngoài ruột như: Gan, não, phổi và phúc mạc gây áp xe gan, phổi, não, viêm phúc mạc [7].

Hình 7: Thể bào nang Entamoeba histolytica. (Nguồn: Internet)
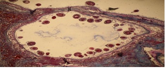
Trichinellaspiralis là loài giun tròn sống ký sinh trên động vật ăn tạp, động vật có vú, các loài chim, chuột và một số loài gặm nhấm khác. Con người mắc phải là do ăn các loại thực phẩm được làm từ thịt của các động vật này chưa được xử lý, chưa được nấu chín có chứa u nang, các u nang này được nuốt vào ruột và bị phá vỡ dưới tác động của hệ tiêu hóa, ấu trùng được giải phóng từ các nang sẽ xâm nhập vào ruột non một số theo hệ thống tuần hoàn di chuyển khắp cơ thể nhưng chủ yếu tập trung ở hệ cơ vân có thể gặp ở cơ hoành, cơ mắt, cơ ngực, cơ liên sườn và gây bệnh ở đó [8].

Hình 8: U nang trong cơ chứa ấu trùngTrichinellaspiralis
(Nguồn: http://www.humanillnesses.com/original/T-Ty/Trichinosis.html)
Giardia spp là ký sinh trùng có khắp nơi trên thế giới đặc biệt là vùng ôn đới và nhiệt đới. Con người nhiễm bệnh do ăn phải thức ăn như: Rau, củ, quả bị nhiễm bào nang của Giardia sau khi vào ruột gây đau bụng, tiêu chảy nhiều khi chúng còn gây viêm túi mật. Thường gặp nhất là Giardia intestinalis,Giardia lamblia, Giardia duodenalis.

Hình 9: Giardia . (Nguồn: Internet)
Opisthorchiidaelà một bệnh phổ biến trên mèo, chó, cầy hương và động vật có vú ăn cá khác. Sán trưởng thành sống trong ống mật và đẻ trứng, trứng được phân tán vào môi trường thông qua đại tiện. Khi có điều kiện, trứng tiếp xúc với nước ngọt, trứng phát triển thành miracidia và được đưa vào ruột của các loài ốc tiếp tục phát triển và sinh sản vô tính làm phát sinh nhiều ấu trùng, ấu trùng rời khỏi ốc bơi chu du trong nước và đến bám vào vẩy của các loài cá nước ngọt như: Cá chép, cá diếc, …. Khi con người ăn gỏi cá hay ăn cá chưa được nấu chín, ấu trùng được đưa vào ruột, sau đó di chuyển đến ống mật sống ký sinh và gây bệnh.

Hình 10: Sán lá gan nhỏ trưởng thành Opisthorchiidae viverrini.
(Nguồn: Viện Sốt rét- KST- CT Tp HCM)
Ascaris(giun đũa) sống ký sinh gây bệnh và đẻtrứng trong ruột, trứng theo phân ra ngoài, nếu con người sử dụng phân người bệnh làm phân bón để bón hoa màu, trứng sẽ phát tán ra môi trường. Người nhiễm giun đũa là do ăn phải trứng có trên các loại rau hoặc trái cây chưa được nấu chín kỹ, rửa sạch, bóc vỏ. Những người bị nhiễm giun đũathường bị đau bụng, nhiễm nặng có thể gây tắc nghẽn đường ruột và làm giảm tốc độ tăng trưởng ở trẻ em .

Hình 11: Giun đũa trưởng thành và trứng giun đũa [11]
Hoàng Anh
Tài liệu tham khảo:
1. Anisakiasis,http://www.cdc.gov/parasites/anisakiasis/faqs.html
2. Taenia solium,http://www.cdc.gov/parasites/cysticercosis/biology.html
3. Diphyllobothriumlatum,http://www.cdc.gov/parasites/diphyllobothrium/biology.html
4. Echinococcus,http://www.cdc.gov/parasites/echinococcosis/biology.html
5. Toxoplasma gondii,http://www.cdc.gov/parasites/toxoplasmosis/epi.html
6. Cryptosporidium,http://www.cdc.gov/parasites/crypto/illness.html
7. Entamoeba histolytica,http://www.cdc.gov/dpdx/amebiasis/
8. Trichinellaspiralis,http://www.cdc.gov/parasites/trichinellosis/biology.html
Lễ kỷ niệm 40 năm thành lập Viện Sốt rét – KST – CT TP. HCM (18/01/1977 – 18/01/2017) & Đón nhận Huân chương Lao động hạng I
13/01/2017Lớp tập huấn đánh giá kết quả phòng chống sốt rét giai đoạn 2011 - 2015
26/10/2015Thông báo tuyển sinh khóa 45 năm 2015
23/10/2015Công đoàn Viện Sốt rét - KST - CT TP. HCM tổ chức tham quan du lịch
19/10/2015