Định danh loài sán dải sống trong não người bằng giải trình tự gen
Tạp chí Genome Biology đã công bố kết quả nghiên cứu của các nhà khoa học Viện Wellcome Trust Sanger: Lần đầu tiên, bộ gen của một loài sán dải hiếm gặp đã được giải trình tự. Nghiên cứu này mở ra cái nhìn sâu sắc hơn về tiềm năng của các loại thuốc tác động có chủ đích vào trong hệ gen cho các phương pháp điều trị trong tương lai.
Sán dải là ký sinh trùng thường sống ở ruột non, gây ra các triệu chứng như suy nhược, sút cân và đau bụng. Tuy nhiên, ấu trùng của một số loài sán dải có thể di chuyển đến các cơ quan khác như mắt, não, tủy sống…và ký sinh ở đó.
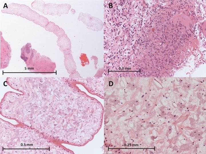
Một người đàn ông 50 tuổi, gốc Trung Quốc đã được đưa vào bệnh viện ở phía Đông của nước Anh do các triệu chứng đau đầu, co giật, thay đổi mùi vị và suy giảm trí nhớ. Người này đã sống ở Anh hơn 20 năm và thường xuyên về thăm quê hương. Sau một loạt các xét nghiệm đều âm tính và không có biểu hiện gì bất thường, các bác sĩ đã cho chụp cộng hưởng từ (MRI) não. Trong suốt bốn năm, họ nhận thấy một tổn thương di chuyển ít nhất 5 cm trong não của bệnh nhân. Các bác sĩ đã lấy mẫu sinh thiết vùng đồi não trái và phát hiện ra một con ấu trùng sán dải dài 1 cm. Sau đó, bệnh nhân đã được chữa khỏi bệnh bằng phẫu thuật và hiện đang hồi phục sức khỏe.
Các nhà nghiên cứu tại Viện Wellcome Trust Sanger đã xác định tên của loài sán này là Spirometra erinaceieuropaei thông qua phân tích trình tự DNA của nó. Đây là loài sán dải hiếm gặp, thường được tìm thấy ở các quốc gia như Trung Quốc, Hàn Quốc, Nhật Bản và Thái Lan. Nguyên nhân gây ra bệnh là do ăn thịt ếch hoặc rắn nấu chưa chín hoặc sử dụng thịt ếch để điều trị vết thương và uống nước bị ô nhiễm.
Lần đầu tiên, bộ gen của loài sán này được giải trình tự, kích thước của nó gồm có 1,26 tỷ cặp base, hiện là bộ gen lớn nhất được báo cáo cho lớp sán dẹp. Các nhà khoa học cũng đã xác định được gen kháng thuốc của Spirometra erinaceieuropaei và tiềm năng cho các loại thuốc điều trị khác.
Hayley Bennett - tác giả chính của nghiên cứu cho biết: “Bệnh này rất hiếm gặp trên thế giới và hoàn toàn bất ngờ ở đất nước này. Chính vì điều đó mà bệnh nhân không được chẩn đoán do sparganosis cho đến khi ấu trùng được lấy ra từ não. Chúng tôi cũng rất ngạc nhiên về độ lớn của bộ gen, nó lớn hơn nhiều so với các sán dẹp được biết khác và xấp xỉ bằng 1/3 kích thước của bộ gen người. Bằng cách so sánh với bộ gen của các loài sán dải khác, có thể thấy chắc chắn rằng họ gen đã được mở rộng. Điều này có thể làm nền tảng cho sự da dạng về ký chủ của loài sán. Các dữ liệu cũng tạo ra cái nhìn toàn diện đầu tiên về sán dải – điều chưa từng có trước khi giải trình tự gen”
Nghiên cứu cũng phát hiện loài sán dải này có gen có khả năng kháng với Benzimidazole nhưng có thể nhạy cảm với thuốc điều trị sán dải khác là Praziquantel. Nhằm mục đích khai thác tiềm năng của các loại thuốc điều trị các bệnh khác đang có mặt trên thị trường. Họ còn tìm thấy một số gen là mục tiêu cho các loại thuốc ung thư, cho thấy những thuốc đó có thể dùng điều trị cho nhiễm trùng này.
Các nhà nghiên cứu cũng xác định hai mươi họ gene mở rộng không rõ chức năng, chúng sắp xếp theo trật tự ít được biết đến về sán dải. Điều này có thể giải thích cho khả năng thích nghi của chúng với nhiều ký chủ (giáp xác, bò sát, lưỡng cư và động vật có vú) cũng như trong môi trường nước. Những dữ liệu của nghiên cứu này đã được công bố công khai.

Hình ảnh phóng đại của sán dải và mô não sinh thiết.
ThS. Trần Mỹ Duyên
(Lược dịch từ Tapeworm found living inside a patient's brain: Worm removed and sequenced
http://www.sciencedaily.com/releases/2014/11/141120204558.htm)
Lễ kỷ niệm 40 năm thành lập Viện Sốt rét – KST – CT TP. HCM (18/01/1977 – 18/01/2017) & Đón nhận Huân chương Lao động hạng I
13/01/2017Lớp tập huấn đánh giá kết quả phòng chống sốt rét giai đoạn 2011 - 2015
26/10/2015Thông báo tuyển sinh khóa 45 năm 2015
23/10/2015Công đoàn Viện Sốt rét - KST - CT TP. HCM tổ chức tham quan du lịch
19/10/2015