Bệnh do Cryptococcus neoformans
Cryptococcusneoformans thuộc nhóm vi nấm hạt men, đặc trưng bởi sự hiện diện của bao mucopolysaccharide rất dày, bao quanh tế bào. Người khoẻ mạnh cũng như người suy yếu miễn dịch đều có thể bị nhiễm khi hít các bào tử nấm trong không khí. C.neoformans có ái lực mạnh đối với hệ thần kinh trung ương do đó viêm não, màng não là biểu hiện lâm sàng thường gặp nhất. tần suất bệnh ngày càng tăng theo đại dịch AIDS và theo sự phổ biến của điều trị ghép cơ quan cũng như tình trạng sử dụng corticoids rộng rãi.
1. ĐẶC ĐIỂM DỊCH TỄ
C.neoformanslà loài duy nhất của giống Cryptococcus có khả năng gây bệnh cho người. Mặc dù nhiều trường hợp nhiễm trùng do C.albidus và C.laurenti đã được báo cáo nhưng vai trò bệnh học của hai loài này vẫn chưa được khẳng định
Var.neoformanshiện diện khắp nơi trên thế giới. Chúng được phân lập trong phân cũ đã khô của các loài chim, đặc biệt là chim bồ câu, và trong đất chứa nhiều phân chim, dơi, gà…Tháp lâu dài – nhà thờ, tầng dưới nóc các toà nhà cũ, bệ cửa sổ, kho chứa rơm, cỏ khô…là những nơi thu hút các loài chim, dơi đến trú ngụ và trở thành nguồn chứa vi nấm quan trọng. Var.neoformanschiếm ưu thế trên bệnh nhân AIDS.
Tong khi đó Var.gattiikhông bao giờ được tìm thấy trong phân chim hoặc trong đất nhưng lại có rất nhiều trong các chất mục nát tích tụ ở các hốc trên thân cây bạch đàn, vì vậy chúng là tác nhân chủ yếu của nhiễm C.neoformanstrong vùng nhiệt đới phát triển nhiều giống cây này như Châu Phi, Australia, Châu Á và Nam Mỹ. Khả năng gây bệnh chủ yếu trên người khoẻ mạnh đã cho thấy var. gattiithật sự là môt vi nấm gây bệnh, không cần đến tình tràng suy yếu miễn dịch của ký chủ, nói cách khác, không phải tác nhân cơ hội. Vì thế, tỉ lệ nhiễm var. Gattii ngày càng giảm trong số các trường hợp nhiễm C.neoformansnói chung. Ở Việt Nam, var. neoformansvà var.gattiiđều được phân lập từ các mẫu lâm sàng với ưu thế thuộc về var.neoformans.
2. LÂY NHIỄM
Cryptococcusneoformanslà một loài vi nấm có trong môi trường đất nhiễm phân chim, trong một số loại cỏ cây. Lây nhiễm cho người qua đường hô hấp ( khi hít phải bào tử), hay các vết loét ở da. Cryptococcusneoformanscó thể gây bệnh ở phổi, nhiễm lan tỏa theo đường máu, nhưng thường gặp là gây viêm màng não.

Hình 1: Chu kỳ củaC. neoformans
(nguồn: http://images.slideplayer.info/26/8664900/slides/slide_79.jpg)
3. BỆNH HỌC
Giai đoạn xâm nhập phổi thường diễn tiến âm thầm hoặc thoáng qua. Đa số bệnh nhân được chẩn đoán khi có biểu hiện tổn thương hệ thần kinh trung ương. Trên bệnh nhân AIDS, sang thương da thường gặp, có thể xuất hiện trước hoặc đồng thời với viêm não, màng não.
3.1 Bệnh nguyên phát ở phổi
Thể phồi nguyên phát thường có diễn biến đa dạng, khó tiên đoan được nhất là trên cơ địa người khỏe mạnh. Vi nấm có thể tồn tại nhiều năm trong phế quản với kết quả cấy đàm dương tính kéo dài nhưng không gây ra các biểu hiện bệnh lý. Bệnh thường được phát hiện trong các trường hợp chụp phim phổi . Tình trạng viêm phổi sẽ được diễn biến trong nhiều năm. Tuy vậy một tỉ lệ nào đó sẽ diễn tiến thành mạn tính, một số âm thầm phát tán theo đường máu đến hệ thần kinh trung ương.
3.2 Bệnh ở hệ thần kinh trung ương
Viêm màng não là thể thường gặp nhất chiếm đến 85% các trường hợp. Bệnh có thể diễn biến chậm, khởi sự bằng nhức đầu nhức đầu âm ỉ, có thể kéo dài nhiều tháng trước khi nhập viện. Nhức đầu ngày càng tăng, thường lan khắp đầu và không còn nhạy cảm với thuốc giảm đau. Các dấu hiệu kích thích màng não và phù não dần dần xuất hiện như chóng mặt, buồn nôn, nôn ói, cổ cứng, giảm thị thực, nhìn đôi, xuất hiện điểm mù, mất điều hòa trong đi đứng, thay đổi về tâm thần nhân cách như ngủ gà, giảm trí nhớ, lú lẫn. Đôi khi kèm theo các biểu hiện liệt dây thần kinh sọ não và hôn mê. Soi đáy mắt sẽ phát hiện gai thị phù nề, sung huyết. Chọc dò dịch não tủy cho thấy áp lực tăng, dịch trong, đạm tăng, đường giảm và tế bào tăng, chủ yếu lymphocyte. Sốt nhẹ thường xảy ra trễ khi có các dấu hiệu viêm não, màng não.
Trong một sốt trường hợp, nhức đầu không phải là biệu hiện ban đầu, bệnh xảy ra đột ngột hơn với giảm thị lực hoặc ngủ gà, lơ mơ, nôn ói. Các thể này thường đưa đến tử vong trong vòng 2 tuần.

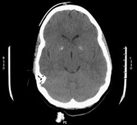
Hình 2: Chụp cắt lớp vi tính (CT) của đầu trẻ bị nhiễm HIV và viêm màng não do cryptococcus. Hiện có hai vôi hóa vân vân [6].
3.3 Thể bệnh ngoài da
Chiếm 10% - 15 % các trường hợp lan tỏa, tỉ lệ này sẽ tăng cao hơn trong nhóm bệnh nhân AIDS và là dấu hiệu chẩn đoán sớm của giai đoạn phát tán toàn thân. Các biểu hiện ở da thường là những nốt sẩn không đau, phần trung tâm lõm dần xuống và loét ra tạo thành tổn thương dạng núi lửa.Đôi khi chúng xuất hiện dưới dạng mụn mủ, vết loét hoặc những áp xe. Tổn thương da khu trú chủ yếu ở mặt, thân và chi. Hầu hết các bệnh nhân có tổn thương da không điều trị sẽ tiến triển đến viêm não, màng não.
3.4 Viêm xương tủy xương
Trong thể phát tán toàn thân, khoảng 5% - 10% trường hợp, hệ xương bị vi nấm tấn công. Vị trí thường nhất là cột sống, ngoài ra xương chậu, xương dài, xương sọ, xương sườn đều có thể bị ảnh hưởng. Ổ áp xe chứa đầy vi nấm được hình thành dưới mô mềm và có thể vỡ ra ngoài. Bệnh nhân đau khi cử động. Chụp X-quang xương sẽ thấy những vùng hủy xương giới hạn rõ, không sưng phù màng bao xương, hiếm khi kèm viêm khớp
3.5 Các thể bệnh khác
Ngoài các cọ quan nói trên, vi nấm có thể tấn công nhiều tổ chức khác gây viêm thận, bể thận, viêm tiền liệt tuyến, viêm gan, viêm nội tâm mạc, viêm đường tiêu hóa...
4. CHẨN ĐOÁN
4.1 Chẩn đoán vi nấm vi học
4.2 Bệnh phẩm: Dịch não tủy, tổn thương da, mủ, đàm, máu, nước tiểu...
4.3 Quan sát trực tiếp
Nhuộm với mực tàu hoặc nigrosin, quan sát dưới kính hiển vi sẽ thấy những tế bào tròn hoặc bầu dục, nẩy búp, chung quanh được bao bọc bởi một vòng sáng đó là bao mucopolysaccharide không bắt màu phẩm nhuộm. Sự hiện diện của bao nang là đặc điểm nhận dạng vi nấm C.neoformans.Một số chủng, bao nang rất mỏng, khó định danh, cần phối hợp với các dữ liệu lâm sàng, dịch tễ và phát hiện kháng nguyên trong huyết thanh cũng như trong các dịch sinh học. Dịch não tủy có thể quay ly tâm trước khi nhuộm để làm tăng độ nhạy của xét nghiệm

Hình 3: C. neoformans nhuộm màu với mực Ấn Độ.
4.4 Cấy
Bệnh phẩm được cấy trong môi trường Sabouraud có Chloramphenicol ủ 37°C và 25°C. Sau 2-3ngày vi nấm mọc to thành khuẩn lạc nhão, màu vàng nâu nhạt, khảo sát lứa cấy dưới kính hiển vi thấy nhiều tế bào men có nang
4.5 Miễn dịch chẩn đoán
Kháng thể kháng C.neoformanscó thể được phát hiện ở gian đoạn sớm của bệnh hoặc trong các trường hợp nhiễm khu trú nhưng hiếm khi tìm thấy trong thể viêm não, màng não và các thể lan tỏa khác. Tầm soát kháng nguyên có giá trị hơn trong chẩn đoán bệnh và kỹ thuật được sử dụng phổ biến nhất hiện nay là ngưng kết hạt latex
5. ĐIỀU TRỊ
Var.neoformansvà Var.Gattii có một số khác biệt về khả năng gây bệnh do đó có thể gây ra những kết quả điều trị khác nhau. Var.gattiigây bệnh chủ yếu cho người khỏe mạnh nên khả năng điều trị hiệu quả hơn. Khác với thâm nhiễm lan tỏa do Var. Neoformans,vì thế thường đòi hỏi can thiệp ngoại khoa. Thường phối hợp amphotaricin B với 5 fluorocystosin, có thể dùng fluconazol, itraconazol, ketoconazol. Đặc biệt fluconazol hay được dùng dạng viên và tiêm để điều trị bệnh nấm cryptococcus gây viêm màng não ở những bệnh nhân bị nhiễm HIV.
Có thể sử dụng phác đồ phối hợp hoặc đơn lẻ tùy từng trường hợp bệnh.
5.1 Phác đồ phối hợp
Amphotericin B 0.3 – 0.5 mg/ngày IV, phối hợp với uống flucytosine (5 – FC) 150 mg/kg/ngày hoặc với fluconazole 400 – 800 mg/ngày. Điều trị trong 6-10 tuần
Sau 3 tuần điều trị, bệnh không cải thiện hoặc nặng hơn, nên tăng liều Amphotericin B thành 0.6-1 mg/kg/ngày. Trường hợp bệnh nặng, đe dọa tính mạng bệnh nhân, có thể sử dụng amphotericin B liều cao 50 mg/ngày ngay từ đầu
Amphotericin B và 5 – FC có tác dụng hiệp lực do đó sự phối hợp hai thuốc này thường là lựa chọn đầu tiên
5.2 Phác đồ đơn lẻ
Amphotericin B 0.8 – 1 mg/kg/ngày cho đến khi đạt được tổng liều từ 1 -2 g
Tỉ lệ tái phát cao trên bệnh nhân AIDS, do đó sau khi khỏi bệnh, phải tiếp tục theo dõi các dấu hiệu lâm sàng, nồng độ kháng nguyên trong máu và điều trị duy trì trong suốt thời gian sống của bệnh nhân bằng fluconazole 200 – 400 mg/ngày hoặc itraconazole 200 mg/ngày
6. DỰ PHÒNG
Tránh tiếp xúc với các nguồn nhiễm: không nuôi chim bồ câu, chim cảnh, trành quét dọn, lau chùi chuồng chim, các máy lạnh nhiễm phân chim, không nên lưu trú trong các vùng trồng nhiều cây bạch đàn...
Tẩy trùng các nguồn nhiễm bằng các dung dịch kiềm
Không nên hút thuốc và tránh nơi có nhiều khói thuốc, vì sẽ đẩy mạnh sự hít và lắng đọng các bào tử ở đường hô hấp
Trần Thị Xuyến, Hoàng Anh
TÀI LIỆU THAM KHẢO
- https://www.cdc.gov/fungal/diseases/cryptococcosis-neoformans/definition.html
- http://www.idsociety.org/uploadedfiles/idsa/guidelines-patient_care/pdf_library/cryptococcal. Franzot S.P.,I.F. Salkin, and A.
- http://apps.who.int/iris/bitstream/10665/44786/1/9789241502979_eng.pdf
- Trần Xuân Mai, Nguyễn Vĩnh Niên, Nguyễn Long Giang, Trân Thị Hồng, Phùng Đức Thuận & Ngô Hùng Dũng, 1998. “Ký sinh trùng Y học”, Trung tâm đào tạo và Bồi Dưỡng Cán Bộ Y Tế Tp. Hồ Chí Minh
- Trần Xuân Mai và cộng sự (2015). “Ký sinh trùng y học”. Nhà xuất bản y học, trang 445- 448.
- https://www.hiv.va.gov/provider/image-library/cryptococcus-neoformans.asp)
- http://emedicine.medscape.com/article/215354-overview
Lễ kỷ niệm 40 năm thành lập Viện Sốt rét – KST – CT TP. HCM (18/01/1977 – 18/01/2017) & Đón nhận Huân chương Lao động hạng I
13/01/2017Lớp tập huấn đánh giá kết quả phòng chống sốt rét giai đoạn 2011 - 2015
26/10/2015Thông báo tuyển sinh khóa 45 năm 2015
23/10/2015Công đoàn Viện Sốt rét - KST - CT TP. HCM tổ chức tham quan du lịch
19/10/2015