Viêm màng não ký sinh trùng
07:04 CH @ 06/09/2014Viêm màng não là tình trạng viêm của các màng bảo vệ bao quanh não bộ và tủy sốngBệnh ngủ châu Phi
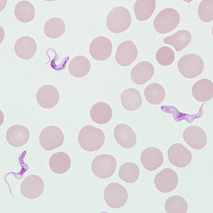
06:51 CH @ 06/09/2014Bệnh ngủ châu Phi (sleeping sickness) là một bệnh do nhiễm ký sinh trùngBệnh Chagas
09:44 SA @ 25/08/2014rypanosoma cruzi gây ra bệnh Chagas hay còn gọi là Trypanosomiasis Mỹ.Khoa học giải mã thành công bộ gene của giun móc
10:58 SA @ 25/06/2014Một nhóm các nhà khoa học quốc tế ngày 19/1 cho biết họ đã giải mã thành công bộ gene của giun móc, mở ra hy vọng sẽ sớm tìmVật chủ trung gian truyền bệnh Sán lá gan lớn (Fasciola gigantica, Fasciola hepatica) ở ốc và thực vật thủy sinh
10:30 SA @ 02/06/2014Vui lòng xem file đính kèmMột số bệnh ký sinh trùng có thể mắc phải khi nuôi thú cưng
10:18 SA @ 02/06/2014Ngày nay, kinh tế phát triển nên cuộc sống của người dân thành thị có phần thoải mái hơnMiễn dịch chống ký sinh trùng
10:34 SA @ 01/11/2013Nhiễm ký sinh trùng là một bệnh khá phổ biến đặc biệt là ở những nước đang phát triển
Tin nổi bật
Lễ kỷ niệm 40 năm thành lập Viện Sốt rét – KST – CT TP. HCM (18/01/1977 – 18/01/2017) & Đón nhận Huân chương Lao động hạng I
13/01/2017Lớp tập huấn đánh giá kết quả phòng chống sốt rét giai đoạn 2011 - 2015
26/10/2015Thông báo tuyển sinh khóa 45 năm 2015
23/10/2015Công đoàn Viện Sốt rét - KST - CT TP. HCM tổ chức tham quan du lịch
19/10/2015






